Bi-Rads
26/02/2013 23:19
ULTRASSONOGRAFIA
O Câncer de Mama é a principal neoplasia que acomete as mulheres (Fonte: INCA ).
A padronização de laudos de mamografia, criada por membros de vários comitês médicos americanos, chefiados pelo Colégio Americano de Radiologia, e conhecida pela sigla Bi-Rads® (Breast imaging reporting and data system), tem como objetivo a sistematização dos laudos, de modo a fornecer conclusão diagnóstica e propor conduta. O BI-RADS está dividido em categorias que expressam um determinado valor preditivo positivo de malignidade (simplificando, as chances que um achado em exame de imagem tem de ser benigno ou maligno).
O Bi-Rads® é utilizado tanto para mamografias quanto para ultrassonografias.
A composição mamária está relacionada às quantidades relativas de tecido adiposo e fibroglandular e dá origem aos chamados padrões mamográficos, que estão divididos em:
- Mamas predominantemente adiposas (25% do componente fibroglandular).
- Mamas parcialmente gordurosas (com densidades de tecido fibroglandular ocupando de 26% a 50% do volume da mama).
- Mamas com padrão denso e heterogêneo (51% a 75% de tecido fibroglandular, dificultando a visibilização de nódulos).
- Mamas muito densas, apresentando mais de 75% de tecido fibroglandular (diminuindo a sensibilidade da mamografia).
Os achados radiográficos são descritos como:
- Nódulos: qualquer opacidade com algum contorno arredondado e definido segundo a forma, os contornos e a densidade.
- Microcalcificações agrupadas: de acordo com sua morfologia e distribuição.
- Distorção focal de arquitetura: espiculações em uma região da mama ou uma retração focal do contorno parenquimatoso denso.
A nova edição da classificação Bi-Rads® introduziu a subdivisão da categoria 4, de acordo com o grau de suspeita (4A: suspeita leve; 4B: suspeita moderada; 4C: suspeita forte, porém não sendo a lesão típica de câncer) e a inclusão da categoria 6, que abrange os casos nos quais já foi realizada a biópsia com resultado maligno, mas a lesão não foi totalmente retirada ou tratada por quimioterapia, radioterapia ou hormonioterapia.
Cabe ainda salientar que a avaliação da mama deve ser um estudo comparativo e evolutivo, desta forma a avaliação conjunta do exame atual com os exames anteriores auxilia no diagnóstico preciso de uma neoplasia em fase inicial, e, em se tratando de câncer, quanto mais precoce o diagnóstico, maiores as chances de cura.
MAMOGRAFIA
Categoria 1
· Normal
Categoria 2
Achados:
- Calcificações vasculares, anelares (cutâneas), em bastão (ductais secretoras), em fios de sutura, puntiformes esparsas e bilaterais (acinares);
- Sinais típicos de esteatonecrose;
- Distorção arquitetural comprovadamente relacionado à cirurgia prévia;
- Sinais de mamoplastia redutora ou implantes mamários;
- Assimetrias globais não palpáveis e a maioria dos casos de assimetrias focais;
- Achados pós-cirúrgicos: alterações cicatriciais e actínicas).
Categoria 3
Restrito a lesões não palpáveis.
Restrita aos achados de nódulos circunscritos, não-calcificados, sólidos à US; agrupamento de calcificações redondas ou ovais e assimetria global.
Não apresentam exames anteriores, com exceção das lesões que já estão sendo acompanhadas e ainda não completaram ainda os 2 ou 3 anos de seguimento necessários.
Os achados só podem ser classificados nesta categoria após a completa avaliação da lesão com incidências mamográficas adicionais e/ou US.
Achados:
- Nódulos redondos ou ovóides, circunscritos (ou com 75% das margens visibilizadas), não calcificados e sólidos à ultrassonografia;
- Calcificações agrupadas com morfologia redonda ou puntiforme (arranjo circular ou ovóide);
- Assimetria focal sem outra alteração.
Recomendações: controle em 6 meses (unilateral, só da mama com alteração), 12, 24 e 36 meses, bilateral.
Não é obrigatório colocar a subdivisão A, B ou C.
4A (10% malignidade)
Achados:
- Calcificações grosseiras heterogênas (> 0,5 mm, irregulares, porém densas e conspícuas (muito distinta)), em geral representam fibrose ou fibroadenoma hialinizado, principalmente em mulheres mais idosas;
- Calcificações agrupadas, monomórficas, predominantemente puntiformes ou redondas, ausentes no exame anterior;
- Nódulos sólidos, ovóides e circunscritos, com calcificações puntiformes ou redondas, sugestivas de calcificações incipientes em fibroadenomas;
- Nódulos com aspectos morfológicos de categoria 3, porém palpáveis,
- Cistos palpáveis, com conteúdo espesso ou prováveis abscessos.
Recomendações: punção ou biópsia para correlação citopatológica. Se benigno, controle por imagem em 6 meses.
4B (10 a 50% malignidade):
Achados:
- Calcificações amorfas (geralmente associadas a secreções de mamas, seja em doenças benignas (adenose esclerosante e alteração fibrocística) ou malignas (CDIS, padrão cribiforme);
- Nódulos com contornos parcialmente circunscritos e parcialmente indistintos.
Recomendações: biópsia percutânea e correlação anátomo-patológica.
4C (50% malignidade):
Achados:
- Calcificações pleomórficas finas ou com morfologia linear;
- Calcificações com qualquer morfologia e distribuição linear/segmentar;
- Distorção focal da arquitetura, comprovadamente não associada à cirurgia prévia.
Recomendações: biópsia percutânea e correlação anátomo-patológica.
Achados:
- Nódulo com forma irregular e contornos espiculados;
- Microcalcificações pleomórficas, lineares ou arboriformes, com distribuição linear/segmentar.
Diagnóstico de câncer já confirmado.
Categoria 0:
Necessário estudo adicional.
Observações:
- Mama densa: Bi-rads 1, porém se alteração à palpação, 0;
- Categoria 0: sempre que alteração que necessite investigação adicional;
- Categoria 4 já biopsiado com resultado benigno: categoria 2 ou 3 dependendo do grau de confiança;
- Categoria 4 não biopsiado e sem alteração em seguimento de 3 anos: continua sendo categoria 4.
- Nódulo palpável NUNCA poderá ser categoria 3.
- Cisto complexo (septos espessos, paredes espessas ou componente sólido).
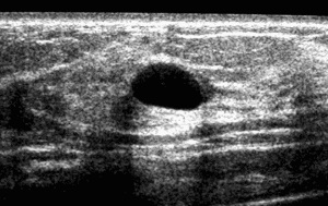
ULTRASSONOGRAFIA
Categoria 1
Exame normal.
Achados:
- As imagens se apresentam com forma bem definida, contorno regular ou bocelado, limites precisos, orientação horizontal, discreto ou acentuado reforço acústico posterior, sombra acústica bilateral ou ausente e ecotextura homogênea, podendo ser anecóicas, hipoecóicas ou isoecóicas. Cistos, nódulos com componente de gordura (inclusive linfonodos intramamários), nódulos com calcificação “em pipoca”, típicos de fibroadenomas;
- Imagens hipoecóicas de características benignas podem também apresentar pontos hiperecogênicos no interior, provocando ou não, sombra acústica posterior, correspondendo a nódulo sólido calcificado.
- Cistos completamente anecóicos ou com septos finos ou com grãos de cálcio em suspensão ou com debris móveis ou com nível de gordura/líquido (cistos lipídicos).
- Aglomerado de cistos, ectasia ductal focal ou difusa (quando o eixo anteroposterior do ducto for maior de 3 mm), macrocalcificação isolada (neste caso, é indispensável a comparação com a mamografia), pacientes portadoras de próteses de silicone íntegras ou com imagens sugestivas de alterações da prótese (retração cicatricial da cápsula, herniação do implante, ruptura extracapsular e intracapsular) e imagens sugestivas de seqüelas cirúrgicas em mama operada, associada ou não à radioterapia, como por exemplo, coleções líquidas ou mistas, calcificações, distorção da arquitetura do parênquima e espessamento cutâneo, em correspondência com a cicatriz cirúrgica.
- Alterações pós-operatórias características e estáveis.
- Linfonodos intramamários.
- Nódulos cutâneos.
- Fibroadenomas com macrocalcificações clássicas na mamografia.
- Nódulos sólidos ovóides e circunscritos, estáveis pelo menos dois anos.
- Implantes ou próteses.
Recomendações: controle periódico de rotina.
Achados:
- Imagens anecóicas (cistos) com pontos ecogênicos fixos no interior, sugestivas de projeção sólida intracística, ou as imagens anecóicas com espessamento de paredes e septações grosseiras.
- Nódulos sólidos, não-calcificados, ovóides, com orientação paralela à pele, sem achados acústicos posteriores (podem, eventualmente, apresentar discreto reforço posterior) e que ainda não completaram 2 anos de estabilidade.
- Microcistos agrupados: a maioria dos microcistos agrupados representa dilatação cística do ácino com metaplasia apócrina e não apresenta sinais de malignidade.
- Cistos com conteúdo espesso: nódulos hipoecóicos redondos ou ovóides, com ecos homogêneos no interior.
- Nódulo hiperecogênico com centro hipoecóico ou anecóico representando necrose gordurosa.
Recomendações: controle ultrassonográfico em 6, 12, 24 e 36 meses.
Achados:
- Qualquer nódulo sólido com:
o Margens não-circunscritas (indefinidas, anguladas, microlobuladas ou espiculadas).
o Atenuação acústica posterior (que não seja um fibroadenoma calcificado típico na mamografia).
o Eixo vertical (mais alto que largo).
o Calcificações finas em seu interior.
o Padrão ductal em sua periferia ou padrão ramificado.
o Hiperecogenicidade em suas margens.
o Forma redonda e muito hipoecóico: nestes casos podemos fazer punção com agulha fina para excluir a possibilidade de cisto com conteúdo espesso.
- Cistos complexos:
o Com septos ou paredes espessadas.
o Com componente sólido no interior.
- Lesões intraductais.
- Áreas de atenuação acústica.
- Áreas sólidas com limites pouco definidos e textura heterogênea.
Achados:
- Nódulos sólidos com forma irregular e contornos irregulares.









